Kombinierter Zahnersatz - MPW Zahntechnik

Leitspruch
Leitspruch
Logo
Direkt zum Seiteninhalt
Kombinierter Zahnersatz

Wie es der Name schon verrät, werden hier festsitzender und herausnehmbarer Zahnersatz miteinander kombiniert. Dabei stellt der festsitzende Zahnersatz über ein Verbindungselement die Verankerung mit dem herausnehmbaren Zahnersatz her. Verbindungselemente sind Geschiebe, Riegel, Stege und Teleskope . Diese Art der Verbingungselemente muss der Zahntechniker individuell herstellen oder verwendet ein Halbfertig-/Fertigteil, welches in die Prothese eingearbeitet werden muss.

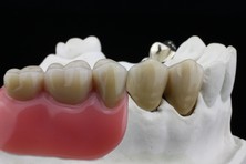
Teleskope
Teleskope

Teleskopkronen bestehen aus zwei Teilen. Die Primärkrone, eine parallel gefräste dünnwandige Kappe, wird fest auf dem vorher präparierten Zahnstumpf zementiert. Die Sekundärkrone, welche der Zahnkrone die eigentliche Form gibt, ist wiederum fest mit dem herausnehmbaren Teil des Zahnersatzes verbunden. Der Halt des Zahnersatzes wird durch die Friktion zwischen Primär- und Sekundär-Teleskopkrone, welche durch die parallele Fräsung der Innenkrone und der exakten Passung der Außenkrone entsteht, erreicht. Dieser Halt ist um vieles besser als bei herkömmlichen Klammern, da der Zahn komplett umfaßt wird und somit eine bessere Abstützung des Zahnersatzes als auch eine bessere Kräfteverteilung erreicht wird. Während Klammern die Zähne auf Dauer schädigen, werden durch die Teleskope das Restzahngebiss geschont. Die Anzahl der benötigten Teleskope pro Kiefer ist abhängig davon, wieviele Zahneinheiten ersetzt werden müssen. Aber selbst bei geringem Zahnbestand, bishin zu noch einem verbliebenen Zahn im Kiefer, ist die Teleskopvariante anwendbar.


Bildrechte MPW Zahntechnik GmbH


Bildrechte aller Bilder MPW Zahntechnik GmbH
Geschiebe
Geschiebe

Unter Geschiebe versteht man eine Verbindungsvorrichtung, welche entweder innerhalb einer Krone, meist aber jedoch außerhalb angebracht ist. Dies können industriell gefertigte feinmechanische Teile sein, als auch individuell vom Zahntechniker gefertigte Teile. Im Gegensatz zu Teleskopkronen, welche aus zwei übereinander liegenden Kronen bestehen (Doppelkronentechnik), handelt es sich hier um ein dünnwandiges Käppchen, welches keramisch verblendet wird. Diese zahnfarbenen Kronen entsprechen höchsten ästhetischen Anforderungen und werden fest im Munde des Patienten zementiert. Die äußeren Flächen sind demnach in Form und Farbe wie ein natürlicher Zahn, die nicht sichtbare Innenseite der Geschiebekrone erhält ein gefrästes Lager, welches zur Aufnahme eines Metallarmes zur Kraft- und Schubübertragung dient, der sich am herausnehmbaren Teil des Zahnersatzes befindet. Dieser sogenannte Schubverteilungsarm sitzt passgenau auf der Krone und komplettiert diese in ihrer Form. Somit werden die auftretenden Kaukräfte vom Zahnersatz optimal auf das Restzahngebiß übertragen und kompensiert.


Bildrechte MPW Zahntechnik GmbH




Bildrechte aller Bilder MPW Zahntechnik GmbH
Stege
Stege

Stege werden hauptsächlich in der Implantatprothetik eingesetzt. Sie verbinden zwei oder mehrere Pfeiler und verblocken diese miteinander. Eine Verblockung der Pfeiler im Munde des Patienten ist dann sinnvoll, wenn z.B. durch bereits starkem Knochenabbau nur kurze Implantate gesetzt werden können. Durch das Verblocken werden die auftretenden Kaukräfte verteilt und einzelne Pfeiler nicht überbelastet. Stege können einfach gestaltet sein, d.h. sie verblocken hauptsächlich, und geben dem darauf verankerten Zahnersatz einen Halt. Individuell gefertigte Stege werden gefräst und funktionieren ähnlich wie Teleskope. Durch die parallele Fräsung wird eine Friktion erreicht, die einen sicheren Sitz und Halt des Zahnersatzes gewährleisten. Zusätzlich können noch Geschiebeelemente angebracht werden, die den Komfort weiter erhöhen.
Riegel
Riegel

Ein Riegel ist im Grunde genommen ebenfalls eine Art Geschiebe, nur daß das Geschiebe in diesem Falle zusätzlich über eine Verriegelung gesichert ist. Diese Art eines Geschiebes findet hauptsächlich Anwendung, wenn der Zahnverlust nur einseitig ist. Durch die Verriegelung kann hierbei auf eine größere Ausdehnung der Prothesenbasis, welche dann auf der gegenüberliegenden, noch vollbezahnten Seite z.B. mit Klammern verankert werden müßte, verzichtet werden. Riegel können ebenfalls industrielle Fertigteile sein, welche z.B. über kleine Druckknöpfe oder Steckriegelachsen funktionieren, oder individuell gefertigte, vom Zahntechniker in die Kronen integrierte Dreh- oder Schwenkriegel. Die Art des Riegels ist abhängig von der individuellen Patientensituation.


Bildrechte MPW Zahntechnik GmbH

Bildrechte aller Bilder  MPW Zahntechnik GmbH
Bildrechte für alle Bilder  MPW Zahntechnik GmbH

Sämtliche von MPW Zahntechnik GMBH auf den Seiten veröffentlichten Informationen, Daten, Graphiken und Publikationen wurden mit größter Sorgfalt und nach bestem Wissen und Gewissen recherchiert und zusammengestellt, ohne jedoch einen Anspruch auf Vollständigkeit und Fehlerfreiheit zu erheben bzw. die Möglichkeit der Fehlinterpretation bzw. -nutzung durch Nutzer dieses Angebotes auszuschließen. Die MPW Zahntechnik GmbH  übernimmt daher keine Gewähr für die Aktualität, Richtigkeit und Vollständigkeit oder Abrufbarkeit der zur Verfügung gestellten Informationen und Daten.
MPW Zahntechnik GmbH
Adresse
Ort
Email
Telefon
Fax
Icon Email
Zurück zum Seiteninhalt